Japanese Journal of
Gastroenterology Research


Case Series - Open Access, Volume 2

CT evaluation of different forms of abdominal tuberculosis: A series of multiple cases

Kritika1 ; Rajaram Sharma2 *; Tapendra Tiwari2 ; Saurabh Goyal2

1Resident Doctor, Pacific Institute of Medical Sciences, Umarda, Udaipur, Rajasthan, India-313001.

2Assistant Professor, Pacific Institute of Medical Sciences, Umarda, Udaipur, Rajasthan, India-313001.

*Corresponding Author : Rajaram Sharma
Assistant professor, Radio-diagnosis Pacific Institute of Medical Sciences (PIMS), Umarda, Udaipur, Rajasthan, India-313001.
Tel: +91-7755923389;
Email: hemantgalaria13@gmail.com

Received : May 17, 2022

Accepted: Jun 17, 2022

Published : Jun 22, 2022

Published: Jun 24, 2022

Copyright : © Sharma R (2022).

Abstract

Tuberculosis infection has a high incidence in the immunocompromised individual or patients with pre-existing illness or undergoing any immunosuppression. Although many cases of abdominal tuberculosis are found to be due to pulmonary causes, when the infective organism is swallowed with the cough, abdominal tuberculosis has many presentations and can mimic inflammatory bowel disease, cancer and other infectious diseases, which causes a delay in the diagnosis resulting in significantly increased morbidity. Therefore, early detection of infection is of utmost importance for the proper treatment. This pictorial essay portrays the common presentation of abdominal tuberculosis utilizing computed tomography scans and demonstrates different imaging features and involvement of various viscera.

Keywords: Tuberculosis; Abdomen; Computed tomography.

Citation: Kritika, Sharma R, Tiwari T, Goyal S. CT evaluation of different forms of abdominal tuberculosis: A series of multiple cases. Japanese J Gastroenterol Res. 2022; 2(9): 1090.

Introduction

Tuberculosis (TB) is a commonly found infectious disease caused by the bacillus Mycobacterium, and for abdominal infection, M. Bovis is mainly responsible [1]. It has been the leading cause of infection in developing countries since the mid-1980s. It is responsible for millions of deaths worldwide (Approximately 5.8 million people developed TB in 2020) [2]. This symptomatic infection is mainly associated with the immune status of the individual. The primarily involved organ is the lung, but many patients are reported in the literature with extrapulmonary involvement. Approximately 15% of all extrapulmonary TB infections, 11 to 12% cases have abdominal involvement [3,4]. The abdominal infection may involve different structures such as the gastrointestinal tract, genitourinary tract, organs like liver, spleen, pancreas, gallbladder, peritoneum and lymph nodes or involvement of one or two organs simultaneously. This disease can mimic conditions like an inflammatory disease of GIT (Crohn’s disease, ulcerative colitis), amebiasis or adenocarcinoma. Abdominal tuberculosis presents with many non-specific symptoms like pain abdomen (60%), fever (75%), weight loss (36%) and features related to peritonitis. Due to this diagnostic dilemma, diagnosis of abdominal tuberculosis can be challenging; therefore, detailed radiological investigations are essential. CT scan has an advantage in the evaluation of abdominal tuberculosis as it can scan the abdomen in a single examination and has better visualization.

Tubercular lymphadenitis

Lymphadenopathy is the commonest finding associated with abdominal tuberculosis. A wide range of patterns can be seen, including an increase in the number of lymph nodes to large nodal masses. The commonly involved lymph nodes groups are omental, mesenteric, celiac, portahepatis and peripancreatic. The conglomerated pattern of lymph nodes is commonly seen in abdominal tuberculosis. In contrast, CT features of involved lymph nodes may vary from peripherally enhancing lymph nodes with low-density centres (signifies caseous necrosis) to homogeneous/heterogeneous enhancement. Lymph nodes calcification is also seen in chronic tubercular infection (Figure 1A,1B). The necrotic lymph nodes are not pathognomic for tuberculosis as they can also be seen in metastasis, lymphoma or Whipple’s disease [4].

Figure 1: (A) A 30 years old male patient came with a complaint of vague pain abdomen, low-grade fever and a history of significant weight loss in the recent past. On physical examination, there was diffuse pain in the abdomen without any organomegaly. Postcontrast computed tomography image from a venous phase in the axial plane illustrates multiple, conglomerated, peripherally enhancing para-aortic (white arrow) & mesenteric (black arrow) lymph nodes with central necrosis. (B) In another 60 years old male patient with similar complaints, a post-contrast computed tomography image from a venous phase in the axial plane shows heterogeneously enhancing, enlarged, and conglomerated lymph node masses with internal low attenuating areas and punctate calcification (thick white arrow) in the left para-aortic region. Both these patients were diagnosed with TB on CT guided lymph node FNAC and anti-tubercular therapy was started. Patients are now symptomatically better and kept on follow up.

Figure 2: Two patients, a 35 years old male and a 40 years old female presented with vague pain abdomen, on & off fever and abdominal distension. Contrast-enhanced computed tomography (CECT) abdomen scan demonstrates various forms of involvement in abdominal tuberculosis. (A & B) Axial images from the postcontrast venous phase illustrate peritoneal thickening (white arrow), high density exudative peritoneal fluid (HU=35 to 45) (black arrow), and diffuse mesenteric fat stranding (thick white arrow). Peritoneal fluid cytology demonstrated the presence of lymphocytes, and biochemistry revealed high adenosine deaminase enzyme value (83IU/L), labelling the diagnosis of TB in the endemic regions. The patients underwent a therapeutic ascitic tap and started on antitubercular drugs

Tubercular peritonitis

Peritoneal involvement is frequently seen in all forms of abdominal tuberculosis. There are three main types of tubercular peritonitis is given [5]. (A) The wet type is in which a large amount of free or loculated viscous fluid is seen. CT findings in this type of peritonitis include high attenuation free fluid (HU value between +25 to +45; signifies high protein and cellular content), (B) the fibrotic fixed type of peritonitis, which is less common and is marked by omental masses, matted mesentery or bowel loops and sometimes loculated ascites, (C) the dry or plastic-type, which is unusual and on CT scan it appears as caseous nodules, fibrous peritoneal reaction, and adhesions. All these described CT features may be confused with peritoneal carcinomatosis [6]. Therefore few features like minimal thickening and enhancement signify TB peritonitis, (Figure 2A,2B) while nodular or irregular thickening implies carcinomatosis. TB peritonitis has a few other findings like macronodular mesenteric deposits (>5 mm), fibrous wall covering the omentum (cocoon abdomen) (Figure 2), and peritoneal or extraperitoneal masses with internal calcifications. Few studies also state that the spreading of inflammation through the peritoneal to the extraperitoneal compartment is specific for TB infection [7].

GI tract

Involvement of the stomach and duodenum is extremely rare due to the lack of lymphoid tissue around these. If tubercular gastritis occurs, it mainly involves the antrum or distal part of the stomach and causes an irregular, nodular wall thickening ulceration and may lead to gastric outlet obstruction. These features may mimic other conditions like syphilis, lymphoma, radiation and corrosive gastritis. Duodenum is also a rare site of tubercular infection, and its imaging features are wall thickening, fistula tract formation, and ulceration which may mimic Crohn’s disease. The differential points are the larger extent of wall thickening and ulceration in tuberculosis as compared to Crohn’s disease [8].

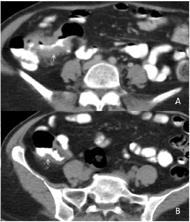
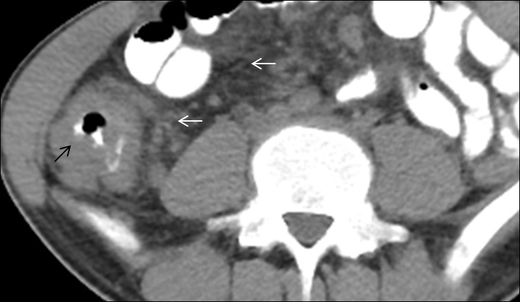
Primary intestinal involvement in tuberculosis is uncommon. The gastrointestinal involvement occurs through ingestion of infective organism with sputum or food via hematogenous route or direct spread from the adjacent organ. Tuberculosis is the infection which can involve any segment of the gastrointestinal tract and in colon it forms coccon formation (Figure 3) and the ileocaecal valve, terminal ileum and caecum are found to be more commonly involved; in approximately 90% of intestinal tuberculosis (Figure 4A,4B), it cal also involved colon part as one of our patient has ascending colon thickening and came out to be tubercular (Figure 5). Rectal involvement in tuberculosis is also rare, which represents fistula formation or fibrosis with rectal inflammation. Clinical presentations of rectal tuberculosis are hematochezia and constipation.

Major imaging findings seen in the intestine are symmetrical or asymmetrical bowel wall thickening, fistulae, altered enhancement, or mesenteric fat stranding and strictures are seen in chronic infection. A pulled up caecum is seen into the right subhepatic space due to retraction of the surrounding mesentery. A conglomeration of findings such as asymmetry of the ileocecal valve, the cecal wall thickening, intra-caecal absorption of the terminal ileum, along lymphadenopathy is evocative of tuberculosis [4]. When tuberculosis is suspected, a surgical biopsy should be done to establish the diagnosis.

Figure 3: A 40 years old female presented with abdominal distension and pain. On the venous phase of post-contrast computed tomography in the axial plane, thick enhancing peritoneal membranes (white arrow) were noted covering the clumped up bowel loops (thick black arrow). A mild amount of loculated fluid and free air is also present in the abdominal cavity (thick white arrow). There are classical features of the abdominal cocoon with perforative peritonitis, for which the patient underwent surgery. Intraoperative findings were labeled as a whitish cocoon-like sac encasing the bowel loops. Excision of cocoon-like fibrous tissue was done, followed by an abdominal rising. Excised tissue was sent for histopathological examination and found out to have tubercular bacilli in it. The patient started on anti-tubercular treatment and presently doing fine.

Figure 4: (A,B) A 25 years old lean and thin female presented with disturbed bowel habits and pain abdomen with on & off fever from last few months. A contrast-enhanced computed tomography scan in the axial plane (A & B) demonstrate thickening of the terminal ileum, ileo-caecal junction and caecum, causing lumen obliteration with surrounding mesenteric fat stranding (white arrow). After colonoscopy guided biopsy, it was proven to be intestinal tuberculosis. The patient had a standard four-drug regimen of ATT for six months, and after that, she was symptoms free.

Figure 5: A 45 years old female presented with pain abdomen and chronic diarrhea. A contrast-enhanced computed tomography axial image from the venous phase demonstrates circumferential thickening of ascending colon (black arrow) with adjacent fat stranding (white arrow). Diagnosis of colonic TB was made through endoscopy guided biopsy. The patient received antitubercular drugs and is recovering well.

Tubercular appendicitis

Tubercular appendicitis is usually mistaken as bacterial appendicitis or any other inflammatory disease. The infection can lead to perforation; therefore, it is advisable to remove the appendix in all abdominal tuberculosis patients undergoing surgery for any reason (Figure 6A,6B,6C).

Figure 6: A 37-year-old female presented with severe pain in the right iliac fossa. On clinical examination she had fever and tachycardia with guarding and rigidity in the right iliac fossa. (A) The patient underwent contrast-enhanced computed tomography (CT) scan of the abdomen, which revealed a distended retrocaecal appendix with thick enhancing walls (white arrow) and adjacent fat stranding. (B) The patient underwent appendicectomy and a reddish swollen angry-looking appendix was found intra-operatively (black arrow). The patient had uncomplicated post-operative period. (C) On histopathology, there were multiple granulomatous lesions and areas of caseous necrosis surrounded by Langerhan’s giant cells and epithelioid cells (white arrow). The patient started on anti-tubercular drugs and kept on follow-up. She is doing fine till the last follow up. Acute tubercular appendicitis is very rare condition. A contrast-enhanced CT scan is the ideal imaging modality for the evaluation of such cases.

Hepatosplenic tuberculosis

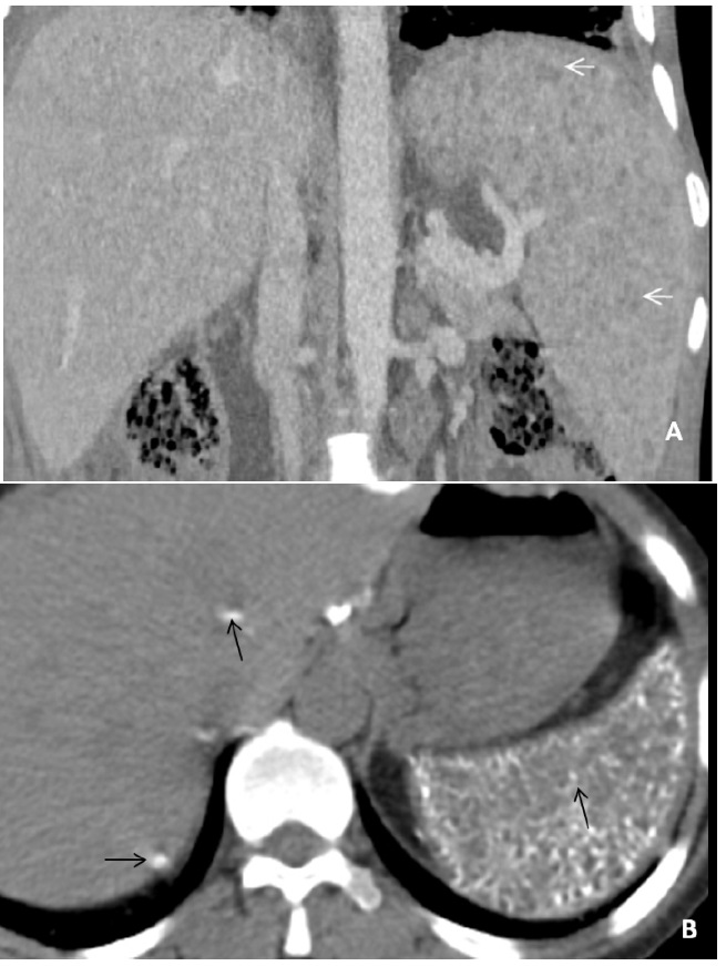
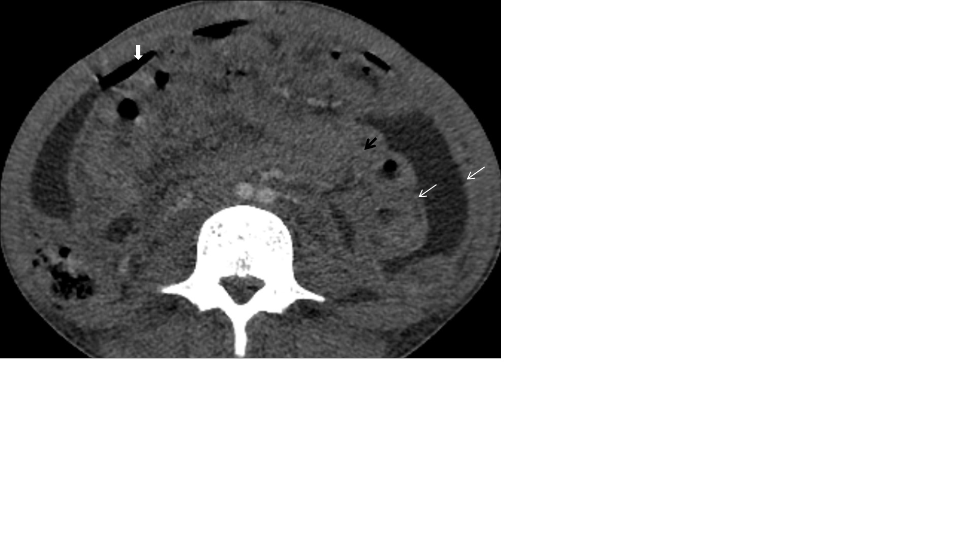
Isolated hepatic or splenic involvement is rare in tubercular infection. It is almost every time associated with the lung or involvement of another abdominal organ. Mainly two broad types of features are there in hepatic or splenic tuberculosis, i.e. military or macronodular. The miliary type is associated with hematogenous dissemination, therefore involving the whole liver or spleen, resulting in liver/spleen enlargement and deranged liver functions. Whereas in macronodular type, dissemination is through a portal vein in which multiple hypodense lesions are observed scattered diffusely in the liver or spleen (Figure 7A). Calcification can also be seen in the chronic phase (Figure 7B). These macronodular presentations may confuse with abscess or metastasis. The involvement of the biliary tree by tuberculosis is even rarer, and its annual incidence is estimated to be 0.1%. If the biliary tree is involved, it is secondary to compression by hepatic granulomas. The gall bladder is rarely involved.

Figure 7: (A) A 40 years old male patient presented with pain abdomen and fever. The USG showed the presence of multiple hypoechoic lesions in the spleen, and a CECT abdomen was performed for further evaluation. The reformatted coronal image of the venous phase reveals hepatosplenomegaly and tubercular involvement of spleen in the form of innumerable tiny hypodense lesions diffusely scattered in splenic parenchyma (microabscesses) (white arrows). Liver biopsy was performed in the same patient due to persistent deranged liver function tests that demonstrated multiple caseating granulomas. Presently, the patient is on ATT and kept on follow-up every six weeks. (B) In another 60 year old male patient, who presented with cough and weight loss, non-contrast CT scan image in axial plane demonstrated calcified nodules involving splenic (black arrows) and hepatic parenchyma (white arrow) that signifies an old healed infection.

Adrenal tuberculosis

In about 10-30% of cases of Addison disease, adrenal tuberculosis is the most common infection found. The CT appearance of tubercular infection depends on its course and inflammatory process. CT findings of early tubercular infection in adrenal are typical bilateral adrenal enlargement with central necrosis (appears hypoattenuating on CT) with the peripheral enhancing rim (Figure 8A). In the late stages of the disease, the adrenal gland appears calcified and atrophic (Figure 8B).

Figure 8: A patient, 36 years old, presented with generalized weakness and significant weight loss in the recent past. On the CECT abdomen, there is an enlarged left adrenal gland showing heterogeneous enhancement with the central necrotic area (hallmark for active tubercular infection) (black arrow) versus normal right adrenal (white arrow). The patient kept on on ATT with four-drug therapy (Isoniazid, rifampin, ethambutol and pyrazinamide) for eight weeks (Intensive phase) followed by two drug therapy (Isoniazid and rifampin) for 18 weeks (Continuation phase). Another 45 years old male patient who had pulmonary tuberculosis in the past now presented with generalized weakness, continuous headache, hyper-pigmentation and vague pain abdomen from the last few years. He underwent a non-contrast computed tomography (NCCT) abdomen, which showed irregular bilateral adrenal enlargement with internal calcification (white arrows). Patient ‘B’ has restarted on ATT for the same.

Pancreatic tuberculosis

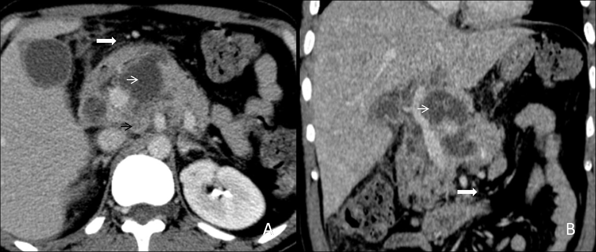
Isolated tuberculosis of the pancreas is rare, even in countries with a high prevalence of tuberculosis. Pancreatic tuberculosis represents solitary or multiple lesions with multiple necrotic areas. It usually occupies the pancreatic body or head, (Figure 9A,9B) and peripancreatic lymphadenopathy can also be found. The cystic component appears hypoechoic (sometimes hypo-isoechoic) on ultrasound and hypodense on CT scan [9].

Figure 9: (A,B) A 30 years old male patient with constant and chronic vague pain in the epigastric region undergone a contrastenhanced computed tomography of abdomen. The axial and reformatted coronal plane images from the venous phase show a bulky pancreas having intraparenchymal collections (white arrows), peripancreatic fat stranding (thick white arrows) and enlarged lymph nodes (black arrow). It was later diagnosed as pancreatic tuberculosis on fine-needle aspiration from the cystic component. Standard antituberculous therapy involving at least four drugs remains the cornerstone of the treatment. Therefore, the patient has been on ATT for the last three months.

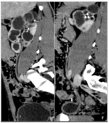
Figure 10: (A) A 40 years old male patient came to our hospital three months back. After initial investigations, he was diagnosed with genito-urinary tuberculosis and started on ATT, after which the patient improved symptomatically. However, after three months, he discontinued the treatment and again presented to us with burning micturition and increased frequency of urination. The patient underwent a CT scan which is depicting a relatively enlarged left kidney with fine calcification along the calyces (black arrow) and thinning of renal parenchyma (white arrow). (B) NCCT scan at the level of the urinary bladder shows a focus of calcification in the urinary bladder near the left vesicoureteric junction (VUJ) (thick black arrow). (C) CECT scan in the axial plane at the corresponding level of the image (A) shows uneven caliectasis (black arrow). (D) Axial view from the CECT scan shows both mid parts of the ureters over the psoas muscle. There is dilatation of the left ureter and thickening and enhancement of the urothelial of the ureter (black arrow). The right ureter appears normal (white arrow). (E) A reformatted sagittal image of the venous phase from the CECT scan shows enhancing urothelial thickening of the left ureter, forming a lead pipe appearance (white arrow). (F) The reformatted sagittal image shows enhancing thickening of the urothelium of the left ureter up to the VUJ with a wide and incompetent VUJ. There is uneven dilatation of the upper calyx of the left kidney with no overlying renal cortex suggestive of phantom calyx and scar formation (white arrow). The urinary bladder has a “thimble bladder appearance” with a patulous VUJ (thick white arrow).

Genitourinary tuberculosis

Genitourinary tuberculosis is the second most common site of tuberculosis, caused by Mycobacterium tuberculosis, secondly to pulmonary tuberculosis. It can be divided anatomically into renal tuberculosis (renal parenchyma, calyces and renal pelvis), bladder and ureteric tuberculosis, prostatic tuberculosis, scrotal tuberculosis, tuberculous pelvic inflammatory disease (female). The kidneys are the most common site of GUTB. Clinical presentations are hematuria, frequency, urgency, dysuria with involvement of the bladder. Stricture formation is the most common complications in GUTB. Common sites of stricture formations are the neck of a calyx causing hydrocalyx, regional hydro calcinosis, pelvic-ureteric junction causing generalized dilatation of pelvicalyceal system and lower end of the ureter. Other imaging findings are parenchymal scars & irregularity of the papillary tips (motheaten calices), and small cavities in the papillae. (Figure 10A,10B,10C,10D) Sometimes fibrotic reactions may develop, leading to stenosis and strictures formations. Chronic tubercular infections in the genitourinary tract result in a ‘thimble bladder’ appearance and patulous VUJ (Figure 10E,10F). In females, pelvic tuberculosis is seen commonly in India, leading to a tubo-ovarian abscess or stricture formation (Figure 11A,11B).

Figure 11: (E) A reformatted sagittal image of the venous phase from the CECT scan shows enhancing urothelial thickening of the left ureter, forming a lead pipe appearance (white arrow). (F) The reformatted sagittal image shows enhancing thickening of the urothelium of the left ureter up to the VUJ with a wide and incompetent VUJ. There is uneven dilatation of the upper calyx of the left kidney with no overlying renal cortex suggestive of phantom calyx and scar formation (white arrow). The urinary bladder has a “thimble bladder appearance” with a patulous VUJ (thick white arrow).

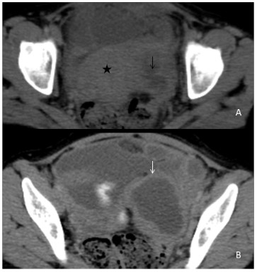
Figure 12: (A,B) A 35 years old female presented with pain abdomen and irregular menstrual history. Contrast-enhanced computed tomography images at the level of the pelvis in the axial plane demonstrate a peripherally enhancing elongated tubular structure with incomplete internal septations (black arrow) in the left adnexal region ( white arrow) adjacent to the uterus (black star), suggestive of inflammatory tubo-ovarian. A mild amount of free fluid is seen in the abdominal cavity. Diagnostic ascitic tapping revealed increased ADA level (68IU/L) with increased lymphocyte counts suggestive of tubercular aetiology. ATT was immediately started, and the patient is on follow up to look for the size of the abscess. If the lesion size does not decrease, a surgery will be done.

Conclusion

1. In a suspected case of abdominal tuberculosis computed tomography scan of the abdomen is the choice of modality to differentiate.

2. Tuberculosis has a great prevalence in India, and it has a broad spectrum of imaging; therefore, proper imaging plays an important role in making timely diagnoses.

References

  1. Raviglione MC. Snider DE Jr. Kochi A. Global epidemiology of tuberculosis: morbidity and mortality of a worldwide epidemic. JAMA
  2. Global tuberculosis report 2021. Geneva: World Health Organization; 2021.
  3. LingenfelserT, Zak J, Marks IN, Steyn E Halkett J. Price SK. Abdominal tuberculosis: still a potentially lethal disease. Ant .1 Gasteroenterol 1993; 88: 744-750.
  4. Leder RA. LOW VHS. Tuberculosis of the abdomen. Radiol Clin,, North ,4iii 1995; 33: 691-705.
  5. Denton T. Hossain J. A radiological study of abdoniinal tuberculosis in a Saudi population. With special reference to ultrasound and computed tomography. Clin, Radiol 1993; 47: 40-f14.
  6. Rodriguez E. Pombo F. Peritoneal tuberculosis versus peritoneal carcinomatosis: distinction based on CT findings 1996; 20: 269- 272.
  7. Ha HK.JungJI. Lee MS.et al.CTdifierentiationof tuberculous peritonitis and pentoneal carcinoniatosis.. AJR. 1996; l67: 743-748.
  8. Kedar RP. Shah PP. Sliivde RS. Malde HM. Sonographic findings in gastrointestinal and peritoneal tuberculosis. Clin Radiol. 1994; 49: 24-29.
  9. Reeder MM, Palmer PES. Infections and infestations. In: Freeney PC, Stevens in GW. eds. Alintentars tract radiology. St. Louis: Mosby.