Service d’Anesthésie Réanimation 1, Réanimation Chirurgicale. CHU rennes, 2 rue Henri Le Guilloux, 35000, Rennes, France.
*Corresponding Author : Seguin Philippe
CHU Pontchaillou, 2, rue Henri Le Guilloux,
35000 Rennes, France.
Email: philippe.seguin@chu-rennes.fr
Received : Aug 06, 2022
Accepted : Aug 26, 2022
Published : Aug 31, 2022
Archived : www.jjgastro.com
Copyright : © Philippe S (2022).
A 48-year-old man with a history of alcoholism and recurrent abdominal pain developed acute alcohol-induced pancreatitis and disruption of the main pancreatic duct with several intraabdominal noninfectious pancreatic pseudocysts. During the course of his hospitalization abdominal CT-scans showed a progression of one pseudocyst leading to an endoscopic cystogastrostomy 2 weeks later.
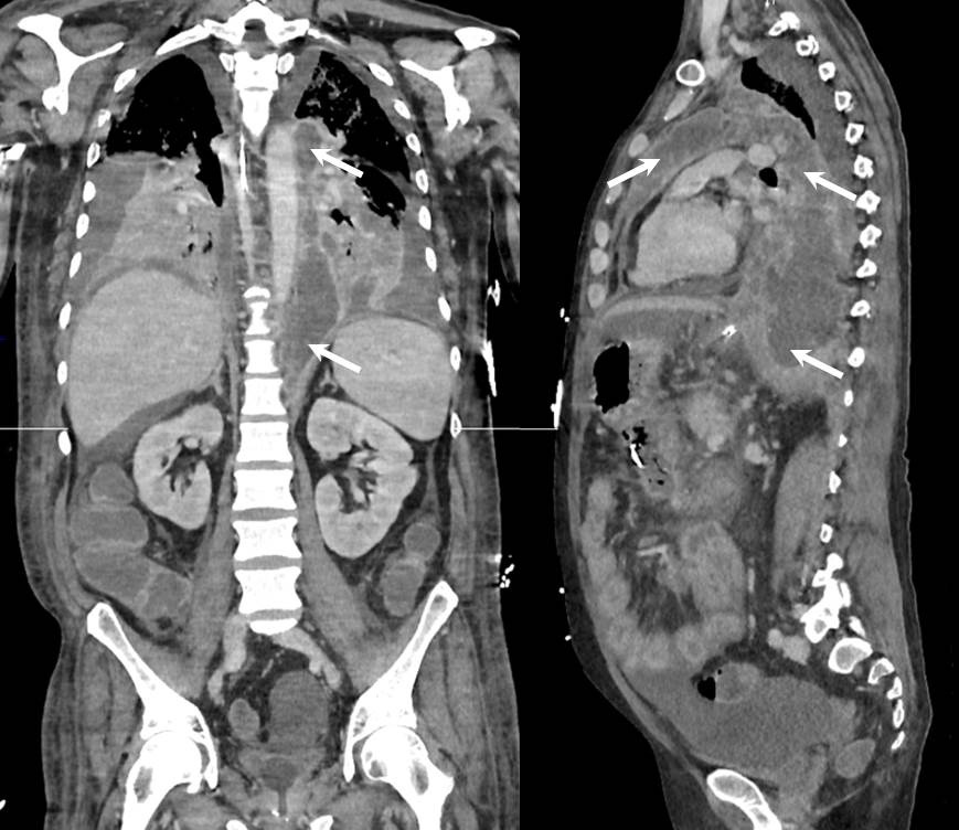
Three weeks after the hospital admission, the patient experienced fever, confusion and respiratory distress requiring mechanical ventilation and intensive care. A new CT-scan revealed bilateral pleural effusion, a non compressive pericardial effusion and a large posterior and anterior mediastinal collection along the left side of aorta spreading from the aortic hiatus to supraaortic vessels (Figure 1, arrows). Blood cultures were positive and grew to Klebsiella spp. A mini-thoracotomy was performed and confirmed the diagnosis of infected mediastinal pancreatic pseudocyst with high level of lipase (49 340 UI/L) and local microbiological samples positive for the same bacteria. Subsequently, the whole mediastinum was washed and drained using a large left thoracotomy.