Japanese Journal of
Gastroenterology Research


Clinical Image - Open Access, Volume 2

Dysphagia as a presentation of neurosyphilis: The great imitator

Hamza Ertugrul, Mahmood Mansour; Syed Bilal Pasha; Harleen Chela*; Veysel Tahan; Ebubekir Daglilar

Department of Gastroenterology, University of Missouri, Columbia, MO 65201, USA.

*Corresponding Author : Harleen Chela
Department of Gastroenterology, University of Missouri, Columbia, MO 65201, USA.
Email: chelah@health.missouri.edu

Received : Oct 25, 2022

Accepted : Nov 16, 2022

Published : Nov 23, 2022

Archived : www.jjgastro.com

Copyright : © Chela H (2022).

Citation: Ertugrul H, Mansour M, Pasha SB, Chela H, Tahan V, et al. Dysphagia as a presentation of neurosyphilis: The great imitator. Japanese J Gastroenterol Res. 2022; 2(15): 1120.

Introduction

Infectious esophagitis, including candida and HSV, often presents in the backdrop of systemic illness and an immunocompromised state, with dysphagia as a prominent symptom. Here, we describe a case of infectious esophagitis in the setting of neurosyphilis.

Description

A 45-year-old female presented to our emergency department with severe, acute onset headaches. Her workup revealed lytic lesions in the calvarium and diffuse FDG avid lymphadenopathy (figure 1). Subsequent workup including biopsies of right inguinal, mediastinal and right axillary lymph nodes, and bone marrow, failed to demonstrate any etiology.

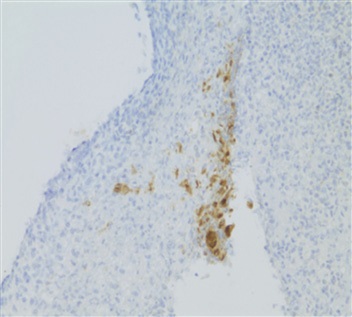
A few months later she presented to the ED again for worsening solid food dysphagia and headaches. Repeat PET scan showed a new FDG avid GE-Junction mass with persistent lymphadenopathy. A diagnostic EGD was performed, revealing distal esophageal (figure 2) and gastric ulcers. Biopsies came back positive for HSV (figure 3) and candida; and treatment with acyclovir and fluconazole was initiated.

Comprehensive infectious workup was negative except for positive serum and CSF non-treponemal serology. Further testing of the previous right axillary LN specimen with IHC staining revealed Treponema pallidum and a diagnosis of neurosyphilis was confirmed and treatment with 14 days of IV PCN was commenced.

Figure 1:

Figure 2:

Figure 3: