Journal of Gastroenterology
Research and Practice


Short Commentary - Open Access, Volume 3

An unusual cause of obstructive jaundice, abdominal pain, and weight loss

Evelyne Smith; Emilie Uldry*; Didier Roulin

Department of Visceral Surgery, Lausanne University Hospital and University of Lausanne, Lausanne, Switzerland.

*Corresponding Author : Emilie Uldry
Department of Visceral Surgery, Lausanne University Hospital, 1011 Lausanne, Switzerland.
Tel: +41-21-314-24-10 & +41-21-314-28-51;
Email: emilie.uldry@chuv.ch

Received : Jul 22, 2023

Accepted : Aug 24, 2023

Published : Aug 31, 2023

Archived : www.jjgastro.com

Copyright : © Smith E (2023).

Citation: Smith E, Uldry E, Roulin D. An unusual cause of obstructive jaundice, abdominal pain, and weight loss. J Gastroenterol Res Pract. 2023; 3(6): 1156.

Introduction

A 71-year-old female patient presented to the emergency department after having developed generalized icterus for one week, associated with inappetence due to epigastric pain with a recent weight loss of 15 kg, and intermittent night sweats. She was treated for hypertension and underwent a cholecystectomy in 2019 complicated with an incisional hernia. She did not smoke and had a family history of BRCA (Breast Cancer Gene) associated breast cancer found in both blood-related sisters. However, she was never tested. Physical examination revealed scleral and generalized jaundice with right upper quadrant tenderness with no overt lymphadenopathy or abdominal mass except for the incisional hernia. Liver panel revealed the following results: aspartate aminotransferase, 234 U/L; alanine aminotransferase, 182 U/L; alkaline phosphatase, 1060 U/L; total bilirubin, 848 mg/dL; direct bilirubin, 143 mg/dL; serum levels of lipase were 63 U/L. Tumor marker for CA19-9 was elevated: 241 kU/l.

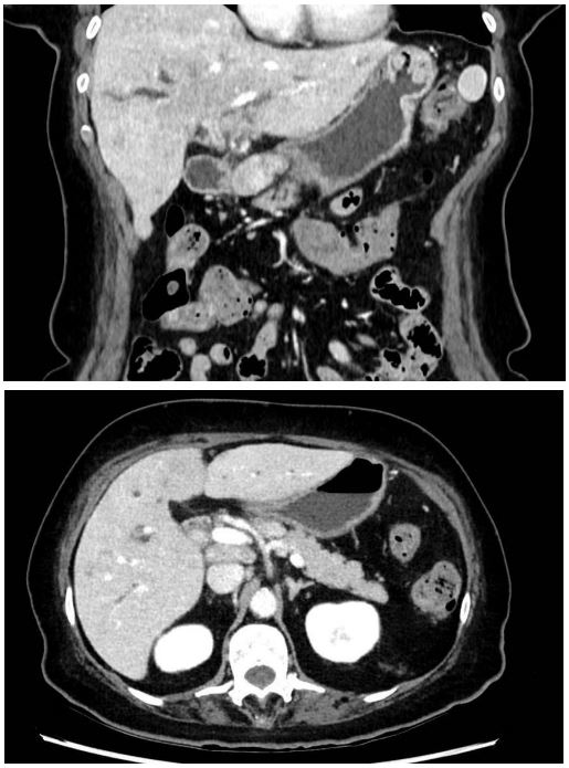
Computed tomography of the chest and abdomen disclosed pathological contrast and wall thickening of the proximal bile duct and right hepatic duct. The left hepatic duct was no longer visible due to diffuse tumor infiltration of the central hepatic parenchyma resulting in dilatation of the intrahepatic bile ducts. A complete occlusion of the biliary convergence with complete separation of the bile ducts to the 2nd convergence was observed. In addition, multiple adenopathy of the hepatic hilum, celiac, gastric greater curvature and retroperitoneal and cardio-phrenic were visible (Figure 1). Magnetic resonance imaging confirmed the CT findings with additional intrahepatic, vertebral body metastases and multiple pulmonary nodules (Figure 2).

Subsequently, the patient underwent endosonography and endoscopic retrograde cholangiopancreatography (ERCP) to allow for further investigations along with alleviation of symptoms via sphincterotomy and stent placement for hepatic decompression. The endoscopic exams identified a stenosis at the hepatic hilum, the left and the right infrahepatic bile ducts, extending into the first branches of the infrahepatic ducts. Brushings and biopsies of the two hepatic hilar adenopathies were obtained.

What is the most likely diagnosis?

Answer: Hodgkin lymphoma

Establishing the diagnosis

Initial image findings are highly susceptive of a hilar cholangiocarcinoma due to the central hepatic infiltration with occlusion of the biliary convergence leading to complete separation of the left and right intrahepatic bile ducts and the hilar adenopathy. The ERCP was also suggestive of a possible hilar cholangiocarcinoma. However, brushings were negative for malignant cells. Lesions mimicking cholangiocarcinoma include Mirizzi sydrome, primary sclerosing cholangitis, biliopathy related to portal hypertension, heterotopic tissue, ischemic cholangiopathy, inflammatory-infiltrative lesions such as IgG4 sclerosing cholangitis, infections (tuberculosis, AIDS), benign tumors and malignant tumors, such as extrahepatic biliary adenomas, neurofibromas, and schwannomas; or, papillary neoplasms of the bile duct, lymphomas, and neuroendocrine malignancies, respectively [1].

The needle biopsy returned positive for a lymphatic ganglion exhibiting lymphoproliferation B CD 20-, CD 30+, CD15 -/+ EBV+, suggestive in the first instance of classical Hodgkin’s lymphoma. The positron emission tomography revealed multiple hypermetabolic lymph nodes, liver, bone and lung lesions, as well as splenomegaly with diffuse splenic hypermetabolism and multiple focal splenic hypermetabolic lesions, consistent with lymphomatous involvement (Figure 3). The diagnosis of classical Hodgkin’s lymphoma was confirmed with incisional biopsy on a hypermetabolic right axillary lymph node.

Figure 1: Thoraco-Abdominal CT scan.

Figure 2: Abdominal MRI.

Figure 3: PET CT scan.

Review

Diagnosis of primary tumors arising from the bile ducts remains a diagnostic challenge despite recent advancements of biological markers, imaging modalities, and risk factor delineation.

Hilar cholangiocarcinoma is the most common bile duct malignant tumor with typical representation consisting of jaundice, abdominal pain, weight loss, anorexia and pruritus. Classical radiological signs include sclerotic masses without hemorrhage of macroscopic necrosis, with the active tumor localized peripherally and the central portions being replaced by fibrosis, visualized by a “peripheral washout sign” [2]. Biological markers such a CA 19-9 are commonly used but have low specificity and sensitivity. Majority of patients require biliary decompression before initiating any treatment in order to decompress the jaundiced liver remnant.

Lymphomas represent only 1-2% of biliary obstruction, presenting mainly as secondary manifestation of a systemic disease [1]. Hepatic lymphomas are classified as primary or secondary types. Hepatic involvement is more common at presentation in non-Hodgkin lymphoma (~20% of cases) than in Hodgkin lymphoma (~5% of cases) [3,4]. Less than 0.4% of Hodgkin's disease cases involve primary hepatic involvement; imaging typically shows a heterogeneous solitary mass in the liver and hilar lymph nodes and no distant metastases. Secondary hepatic lymphomas are due to disseminated lymphoproliferative disease; they appear as a diffuse infiltration or multifocal homogeneous lesions with extrahepatic disease [3,4].

Hepatic and biliary manifestations of lymphomas resemble that of hilar cholangiocarcinoma, and the differentiating diagnosis is confirmed with pathohistological analysis of tissue specimens, either by tissue biopsy or by endosonography.

Patient outcome

Hodgkin lymphoma may mimic similar clinical and radiological presentation as a primary unresectable hilar cholangiocarcinoma. Obtaining tissue sample and multidisciplinary work-up is the key to ensure appropriate management.

In this situation, the patient was referred to the hemato-oncology department for extension work-up and to further pursue a treatment of chemotherapy by Brentuximab Vedotin plus AVD (doxorubicin, vinblastine, and dacarbazine).

Declarations

Grant support: None

Conflicts of interest/disclosures: No conflicts of interest exist.

Abbreviations: BRCA: Breast Cancer Gene; CA19-9: Cancer Antigen 19-9; CT: Computed Tomography; ERCP: Endoscopic Retrograde Cholangiopancreatography; AVD: Doxorubicin, Vinblastine, And Dacarbazine.

References

  1. Marušić M, Paić M, Knobloch M, Vodanović M. Klatskin-Mimicking Lesions. Diagnostics. 2021; 11: 1944.
  2. Mahfouz AE, Hamm B, Wolf KJ. Peripheral washout: A sign of malignancy on dynamic gadolinium-enhanced MR images of focal liver lesions. Radiology. 1994; 190: 49-52.
  3. Alves AMA, Torres US, Velloni FG, Ribeiro BJ, Tiferes DA, ET AL. The many faces of primary and secondary hepatic lymphoma: imaging manifestations and diagnostic approach. Radiologia Brasileira. 2019; 52: 325-330.
  4. Schiff ER, Maddrey WC, Sorrell MF. Schiff’s Diseases of the Liver. Wiley-Blackwell. ISBN:0470654686.