Journal of Gastroenterology
Research and Practice


Research Article - Open Access, Volume 4

The association between dental malocclusion and gastrointestinal disorders: A scoping review

Aditya Deshpande; Randy Kwon; Konstannia Almpani*

Roseman University of Health Sciences College of Dental Medicine, 10920 S River Front Pkwy, South Jordan, UT 84095, USA.

*Corresponding Author : Konstannia Almpani
Roseman University of Health Sciences College of Dental Medicine, 10920 S River Front Pkwy, South Jordan, UT 84095, USA.
Email: nalmpani@roseman.edu

Received : Jun 25, 2024

Accepted : Jul 17, 2024

Published : Jul 24, 2024

Archived : www.jjgastro.com

Copyright : © Almpani K (2024).

Abstract

Introduction: Gastrointestinal problems are often reported by patients with moderate to severe dental malocclusion. However, a direct link between dental malocclusion and the health of the gastrointestinal tract has not been established. The aim of this scoping review is to summarize and evaluate the existing evidence regarding the association between dental malocclusion and gastrointestinal problems.

Methods: A thorough review of the literature was conducted. Five databases were searched for peer-reviewed human studies, including information about gastrointestinal problems in patients with dental malocclusion. Article screening was performed independently by two reviewers using predefined eligibility criteria. Data extraction was performed by two independent reviewers using a customized data extraction tool. Information about article type, study design, participants’ characteristics, interventions, and outcomes were extracted, summarized, and synthesized. A qualitative appraisal of the included studies was also conducted.

Results: Four prospective cohort studies met the review eligibility criteria. The results of three out of four studies indicated an association between dental malocclusion and reduced gastric emptying rate, as well as a higher incidence of gastroesophageal reflux disease. However, the amount of current evidence is currently limited, and the quality of the studies is moderate.

Conclusion: According to the results of this review, it is likely that there is a positive direct association between dental malocclusion and GI symptoms. More clinical studies are required to address this research question of high clinical significance.

Keywords: Dental malocclusion; Gastrointestinal problems; Gastric emptying rate; Gastroesophageal reflux disease, GERD.

Abbreviations: GI: Gastrointestinal; GE: Gastric Emptying; GERD: Gastroesophageal Reflux Disease.

Citation: Deshpande A, Kwon R, Almpani K. The association between dental malocclusion and gastrointestinal disorders: A scoping review. J Gastroenterol Res Pract. 2024; 4(6): 1207.

Introduction

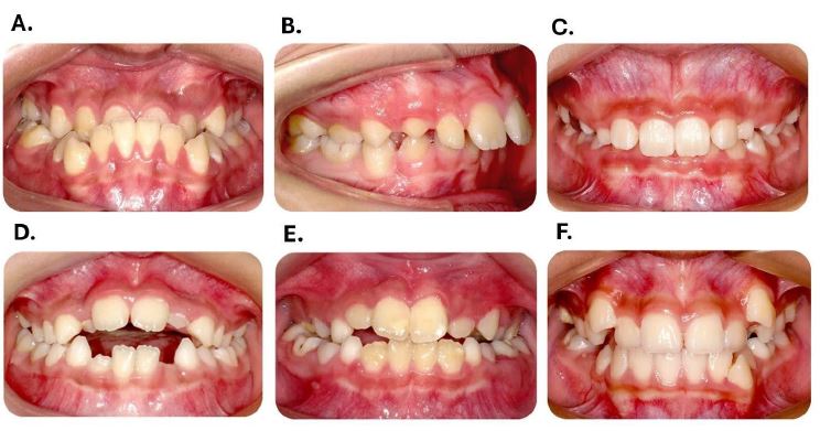
Malocclusion refers to the misalignment or incorrect positioning between the teeth of the upper and lower dental arches [1]. The occurrence of dental malocclusion is high in the general population with an estimated prevalence of 56%, with no gender differences [2]. The etiology of malocclusion can be dentoalveolar, skeletal, or a combination of the two elements. In the case of dentoskeletal malocclusion differences in the size, shape and/or position of the maxilla and the mandible contribute to the malocclusion phenotype [3,4]. Dental or dentoskeletal malocclusion can manifest in various forms, such as overbite, under bite, open bite, cross bite, dental crowding, or caused by several missing teeth (Figure 1).

Previous studies have reported that malocclusion can negatively affect oral function [5]. Specifically, moderate to severe dental malocclusion has been associated with speech impairments, obstructive sleep apnea, compromised periodontal health, increased carries risk, and increased risk for dental trauma [6-13]. Various types of malocclusions have also been directly associated with compromised masticatory efficiency [14,15]. Moreover, previous patient survey studies between orthodontic treatment and/or orthognathic surgery candidates concluded that the improvement of masticatory function is one the main motivating factors to undergo treatment, with percentages varying depending on the subjects’ gender, age, and geographic location [16-19].

Image is Not Display Check it
Figure 1: Figure depicng the main types of dental malocclusions. A. Underbite, B. Overbite, C. 488 Deep bite, D. Open bite, E. Posterior crossbite, F. Crowding.
(Figure adapted from: Zhou et al. Int J Oral Sci. 2024; 16(1): 32).

Mastication is the initial processing of food in the oral cavity. During oral processing, food is comminuted by a mixture of cutting and grinding by the teeth and squeezing by the tongue and cheeks [20]. This process stimulates the production of saliva, which contributes in the creation of a bolus. Saliva also contains enzymes that decompose the nutritional ingredients of the food into simpler forms that the rest of the GI tract elements can more easily absorb [21]. Thus, oral processing is the first part of the digestive tract, consisting of the initial stage of digestion [20,22]. Ineffective mastication can impact the release of digestive enzymes in the mouth, potentially increasing the subsequent digestion me and compromising nutrient absorption in the stomach and intestines, whereas a direct functional relationship between mastication and gastric function has also been reported [23-25]. Additionally, adults with multiple missing teeth or edentulous patients reportedly have more digestive complaints and GI disorders, which have been attributed to compromised masticatory function [26,27].

Therefore, there is a possible association between malocclusion and digestive problems, but it has not yet been established. The aim of this scoping review is to summarize and qualitatively evaluate the existing evidence regarding a possible direct link between malocclusion of variable etiology and GI symptoms.

Methods

Protocol

This scoping review was reported under the Preferred Reporting Items for Systematic Reviews and Meta-analyses extension for scoping reviews checklist (PRISMA-ScR) [28].

Eligibility criteria

Eligible articles included human studies, with participants of any age and gender. Only studies including subjects with a reported history of dental or dentoskeletal malocclusion and gastrointestinal problems were included. Investigations of patients with syndromes or congenital gastrointestinal disorders were excluded. No studies were excluded based on geographic location, racial, or gender-based interests, or details about the specific study setting. This review considered both experimental and quasi-experimental study designs. Analytical observational studies including prospective and retrospective cohort studies, case-control studies, and analytical cross-sectional studies, as well as descriptive cross-sectional studies, case series and case reports. Only primary research studies were included. Text and opinion papers, narrative reviews, conference abstracts were not included in this review, due to the lack of peer review processing. Table 1 provides a more detailed outline of the inclusion/exclusion criteria for article selection.

Information sources and search

To ensure a comprehensive search, the following databases were queried from inception to August 2023: MEDLINE (PubMed), EMBASE (Elsevier), Web of Science Core Collection (Clarivate), Scopus (Elsevier), and Cochrane Library (Wiley) with the use of the Title/Abstract or Topic, English Language and Humans filters, and the Cochrane human studies hedge applied to MEDLINE, Scopus and EMBASE. The complete search strategy for all databases and search engines is provided in Supplementary Table A. Upon selection of the eligible studies, all authors (AD,RK,KA) independently reviewed the references for each article included in the review as well as the references of relevant systematic reviews and/or meta-analyses to identify other potentially relevant studies for inclusion. The most recent search was executed on August 18, 2023.

An example search strategy that was used is the PubMed full electronic strategy:

((gastrointestinal [Title/Abstract]) or (gastro enteric [Title/Abstract]) or

(Reflux [Title/Abstract]) or (digestion [Title/Abstract]) or (indigestion [Title/Abstract]) or

(Dyspepsia [Title/Abstract]) or (heartburn [Title/Abstract]) or (GERD [Title/Abstract]) or

(Constipation [Title/Abstract]) or (irritable bowel syndrome [Title/Abstract]) or

(IBS [Title/Abstract]) or (Nausea [Title/Abstract]) or (gas [Title/Abstract]) or

(Bloating [Title/Abstract]) or (diarrhea [Title/Abstract])) AND ((malocclusion [Title/Abstract]) or

(Dental occlusion [Title/Abstract]) or (crowded teeth [Title/Abstract]) or (dental Crowding [Title/Abstract]) or (retrognathism [Title/Abstract]) or (prognathism [Title/Abstract]) or

(Under bite [Title/Abstract]) or (overbite [Title/Abstract]))

Selection of sources of evidence and data charting process

All authors (AD,RK,KA) screened the titles and abstracts of the identified articles based on the predefined inclusion and exclusion criteria. If eligibility could not be decided by title or abstract, the full text of the article was retrieved to determine eligibility. The individual eligibility decisions from the initial screening process of the articles were compared, and disagreements were resolved through discussion.

Data was extracted from the studies included in the scoping review by two independent reviewers (AD,EK) using a data extraction tool developed for this study, including information about the article, study design, participant characteristics, and pertinent results to the research question. The data extraction entries were reviewed by the third author (KA).

Data items and synthesis of the results

The information that was extracted from the articles included was summarized by two reviewers (AD,RK) and is presented within the Results section of the manuscript as well as in a tabular form. A narrative summary accompanied the tabulated results and described how the results were related to the review objective and questions.

Qualitative appraisal of the included studies

The qualitative assessment of the included studies was conducted with the use of the tool developed by the JBI for quasi-experimental studies [29].

Image is Not Display Check it
Figure 2: Flow diagram depicng the study selecon process.

Results

Selection, characteristics of sources of evidence, and summary results

Of the 399 records identified by the initial search and the removal of 85 duplicates, 255 studies remained for screening. Aer reviewing their titles and abstracts, 10 studies qualified for retrieval of their full texts and further assessment. 1 full text could not be retrieved, and 5 studies were excluded based on the additional information acquired by the full text. 4 studies were included in the review. No additional studies were detected after a manual search of the references of the studies included as well as reviews with relevant subjects. The study selection process is described with a flow diagram in Figure 2.

Synthesis of the results

Publication dates ranged from 2018 to 2013 and were all conducted in Japan. The parameters examined as well as the assessment modalities varied between studies. Two studies included only female subjects [30,31], whereas one subject included only male subjects [32], and the last study a mixed group of subjects [33]. The main characteristics of the studies included in the review are presented in Table 2. Table 3 provides a summary of the participant characteristics and pertinent results for each of the included studies.

The first study by Hattori et al. [32] was a prospective trial with a crossover design. The study cohort included n=13 male participants, with a median age of 20 years and median Body Mass Index (BMI) of 20.4 kg/m2. They all had natural dentitions and were in good health. Exclusion criteria included a history of previous abdominal surgery and the use of medication that might affect GI motility. The aim of this study was to investigate the effect of the absence of molar occlusion on the Gastric Emptying (GE) rate. A splint-like mandibular intraoral appliance was used to simulate shortened dental arches. The reason for the use of a crossover design is that there is a wide interindividual variability in the GE rate [34-36]. In this study, each subject functioned as their own control, by measuring their GE with and without the appliance. GE rate was evaluated using a 13C-octanoic acid breath test [36,37]. The experimental protocol involved two sessions on separate days, each including ingestion of a test meal followed by four hours of gastric emptying measurement and masticatory performance assessment. Regarding the GE parameters, no discernible difference was detected between the two occlusal conditions.

The second study by Koike et al. [30] was a prospective cohort study. N=11 female adults with malocclusion seeking orthodontic treatment were randomly selected, alongside n=11 female controls with normal occlusion. Patients had various types of malocclusions, while controls had normal occlusion. The mean age for patients was 25.5±4.8 years, with a mean BMI of 19.6±2.4 kg/m2, and for controls had a mean age of 26.5±1.0 years, and a mean BMI of 19.6±1.8 kg/m2, with no significant age or BMI differences. Exclusions included orthodontic treatment history, cleft lip or palate and craniofacial syndromes abdominal surgery, medication that could affect the motility of the GI tract, pregnancy, acute illness, alcohol use, heavy smoking, and denture wear. Gastric emptying rate was assessed with a [13C]-labeled acetate breath test and masticatory function with color-changeable gum. Questionnaires evaluated gastroesophageal reflux symptoms and food intake difficulties. According to the results of this study, there was a strong correlation between dental malocclusion and delayed gastric emptying. This delay was detected through the breath test as changes in the amount and rate of [13CO2] recovery. The hypothesis is that the suppression of the GE of the [13C]-labeled food led to a decrease in the recovery of [13CO2]. Regarding the results of the questionnaires, the conclusion was that subjects with malocclusion have a higher incidence of digestive complaints and gastrointestinal disorders, but there was a statistically significant difference between the experimental groups.

The third study by Suzuki et al. [31] was a pilot prospective cohort study. The study cohort included n=7 female subjects seeking orthodontic treatment for malocclusion, and seven female subjects with no malocclusion that served as controls. All subjects were randomly selected. Only healthy females, aged 18-39, with normal BMI, no craniofacial syndromes, no history of craniofacial surgery, no use of medications, diseases, non-smoking, alcohol use, or pregnancy. Gastric emptying and masticatory function were assessed using [13C]-labeled acetate breath test and color-changeable chewing gum, respectively. The Frequency Scale for the Symptoms of GERD (FSSG) questionnaire was used for the evaluation of dyspeptic and dysmotility symptoms [38]. Outcome variables were measured pre-and post- orthodontic treatment for the malocclusion group and at two time points for the controls. Gastric emptying was assessed by measuring the maximum [13CO2] excretion me. Breath samples were collected using special sampling bags before ingestion of a test meal and at several time points after ingestion. Based on the results of this study, there was a significant difference in the maximum extraction me between malocclusion subjects and controls, that was eliminated after orthodontic treatment. Hence, the correction of malocclusion improved gastric emptying in these patients.

Finally, the last study by Togawa et al. [33] was also a prospective cohort study. Their cohort included n=19 (7 males and 12 females) adult subjects with severe skeletal Class III malocclusion with mandibular prognathism. N=20 control subjects with normal occlusion were also enrolled.

The subjects had to be over 18 years of age, with no underlying diseases, and no current medications. Patients with cleft lip or palate and craniofacial syndromes were excluded. Gastroesophageal Reflux Disease (GERD) symptoms were evaluated using the Carlsson-Dent self-administered Questionnaire (QUEST) and the Frequency Scale For GERD Symptoms (FSSG) [38,39]. The results of this study indicate that patients with severe skeletal Class III malocclusion have a higher incidence of GERD symptoms than subjects with normal occlusion.

Qualitative appraisal of the included studies

The results of the qualitative appraisal of the included studies are included in Table 4. An overall moderate level of evidence was detected.

Table 1: Eligibility criteria used for the selecon of the studies.
Category Inclusion criteria Exclusion criteria

Parcipant characteriscs
Studies on human paents with dental or dentoskeletal malocclusion and gastrointesnal problems - Animal studies
- Syndromic paents
- Subjects with congenital gastrointesnal problems
- Edentulous paents

Outcome
Studies not providing informaon on the presence of dental or dentoskeletal malocclusion and/or gastrointesnal problems - Studies not providing informaon on the presence of dental or dentoskel- etal malocclusion and/or gastrointesnal problems
- Ongoing studies





Study design


- Randomized clinical trials
- Prospecve clinical trials
- Retrospecve clinical trials - Case-control observaonal studies
- Cross-seconal surveys
- Case series
- Case reports
- Narrave reviews
- Unsupported opinion of expert
- Editor’s choices
- Replies to the author/editor
- Books’ abstracts
- Conferences’ abstracts
- In vitro studies
- In silico studies
- Meta-analyses*
- Systemac reviews*
Table 2: Characteristics of the included studies.
Author, Year Title Country Study Type Study Design Study Aim/Objective
Hatori et>al. 2008[32] Gastric emptying rate in subjects with experimentally shortened dental arches: a pilot study Japan Prospective Crossover Clinical Trial To>investigate the effect of the experimental loss of molar occlusion on gastric emptying rate.
Koike>et al. 2013 [30] Gastric emptying rate in subjects with malocclusion examined by breath test Japan Prospective Controlled Trial To investigate the relationship between malocclusion and digestion, specifically gastric emptying rates, masticatory function, and gastrointestinal symptoms.
Suzuki>et>al.>2016 [31] Gastric emptying rate before and after orthodontic treatment examined with the [13C] breath test: A pilot study Japan Prospective Controlled Trial To>evaluate the change in gastrointestinal function, using the [13C] breath test with a liquid test meal, before and after orthodontic treatment, in patients with malocclu- sion and investigate the relationship between occlusion, mastication, and gastrointestinal function.
Togawa et al.2008 [33] Gastroesophageal reflux symptoms in adults with skeletal Class III malocclusion examined by question- naires Japan Prospective Cross- sec- tional To examine the symptoms of Gastroesophageal Reflux Disease(GERD), occlusal contact area, maximal voluntary bite force, and salivary flow rate in patients with skeletal Class III malocclusion.
Table 3: Summary of the results of the included studies.
Author, Year Population studied Sample size (females, males) Mean age and/or range (years) or SD Perti nent results summary
Hatori et al. 2008 [32] Healthy dentate males with artifi- cially shortened dental arches 0:13 20 (20- 21) Experimental loss of molar occlusion did not lead to significant changes in GE parameters
Koike et al. 2013 [30] Female adult patients, with and without malocclusion, who sought orthodontic treatment Malocclusion group: 11:0; Control group: 11:0 Malocclusion group: 25.5±4.8(19.3-35.9); Control group: 26.5+/-1.0 (25.0-27.8) Patients with malocclusion had a trendtoward higher incidence of delayed GE parameters com- pared to controls
Suzuki et al. 2016 [31] Female adult patients, with and without malocclusion, who sought orthodontic treatment Malocclusion group: 7:0;Control group:7:0 Malocclusion n group: 26.7±5.5(18-39); Control group: 25.4±1.0 Patients with malocclusion had delayed GE rates compared to controls. Orthodontictreatment resulted in animprovement in GE rates.
Togawa et al. 2008 [33] Two groups: adults with severe skeletal Class III malocclusion and a control group of individuals with normal occlusion Class III group: 12:7; Control group: 12:8 Class III group: 24.4 (18-37) Control group: 25.2 (22- 31) Patients with skeletal Class IIImalocclusion had significantly higher scores on the GERD symptom questionnaires compared to the control group.
Table 4: Results of the qualitative appraisal of the studies based on the JBI checklist for quasi-experimental studies.
Study 1. Is it clear in the study what is the ‘cause’ and what is the ‘effect’ (i.e. there is no confusion about which variable comes first)? 2. Were the participants included in any comparisons similar? 3. Were the participants included in any comparisons receiving similar treatment/care, other than the exposure or intervention of interest? 4. Was there a control group? 5. Were theremultiple measurements of the outcome both pre and post the intervention/expos ure?
Hattori et al. 2008 [30] Yes Yes Yes No (crossover ) Yes
Koike et al. 2013 [31] Yes Yes Yes Yes Yes
Suzuki et al. 2018 [32] Yes Yes Yes Yes Yes
Togawa et al. 2008 [33] Yes Yes Yes Yes No
Study 6. Was follow-up complete and if not, were differences between groups in terms of their follow-up adequately described and analyzed? 7. Were the outcomes of participants included in any comparisons measured in the same way? 8. Were outcomes measured in a reliable way? 9. Was appropriate statistical analysis used?
Hattori et al.2008 [30] No Yes Yes Yes
Koike et al. 2013 [31] No Yes Yes Yes
Suzuki et al. 2018 [32] No Yes Yes Yes
Togawa et al. 2008 [33] No Yes No Yes

Limitations

One of the main limitations of this review is the small number of included studies, reporting a direct association between malocclusion and GI disorders. These were the results of a thorough search in six large databases. In addition, a manual search of the references of the included studies as well as of previous review studies on similar topics was also conducted. Therefore, every effort has been made to locate relevant studies. Nevertheless, one of the main objectives of a scoping review is to elucidate the need for additional studies on a specific subject, which has been achieved with this study.

Discussion

Scoping reviews are exploratory studies that aim to systematically map the literature available on a topic and identify gaps in the research, that will indicate future lines of inquiry [40]. According to the results of this review, only four studies were detected delineating the direct link between malocclusion and GI tract symptoms. The results of three out of the four studies indicated a direct association between dental malocclusion and GI symptoms.

Specifically, GE rates were slower than age and sex-matched controls in patients with malocclusion. Both studies reporting these results [30,31] were conducted in young adult females, because a significant difference has been previously documented in GE between males and females [41]. Moreover, based on the results of a clinical trial by Klingensmith et al. [42] the range of GE was found to be narrower in females, and, therefore, comparisons can be more consistent. However, the sample size in both studies was small. Moreover, the participants had different types of malocclusions, and the results could not be stratified accordingly due to the small cohort sizes.

In the third study [33], a higher incidence of GERD symptoms was detected in a group of female severe Class III malocclusion patients. The main limitation of this study, apart from the small sample size, was that the diagnosis of GERD was based solely on self-reported questionnaires. The validity of the first Questionnaire (QUEST) has been previously questioned in terms of diagnostic value in several studies [43-47], although a few studies support its diagnostic value [48]. Respectively, the FSSG questionnaire is reportedly more reliable in the diagnosis of GERD [47,49]. However, there are not enough validation studies on this questionnaire. Therefore, the conclusions of this study are relatively subjective.

Finally, in the study by Hatori et al. [32], no correlation was detected between the presence of an artificially shortened arch and GE. In this case, the study design did not allow for the investigation of the chronic effect of malocclusion in the GI system, since all the participants were healthy individuals. In addition, the masticatory function is not necessarily compromised in the case of shortened dental arches. Specifically, results from previous studies support the functional efficiency of the shortened dental arch, indicating that arches with intact premolar regions provide satisfactory chewing ability [50-53]. Regardless, based on the results of this study, masticatory efficiency was negatively affected by the shortening of the arches. However, the interference of the splint could have affected the masticatory performance of the subjects and cannot be directly compared with naturally shortened dental arches.

Based on the results of the above studies, there is a need for additional studies that will contribute in the elucidation of the association of dental malocclusion and GI problems. Specific types of malocclusions could be more likely to cause problems along the GI tract than others.

Therefore, stratification of future cohorts based on malocclusion type should be considered. Moreover, the status of pre- and post-treatment GI symptoms in orthodontic and/or orthognathic surgery treatment studies should also be more consistently monitored and reported. Additional scientific evidence on this matter is required for more informed treatment consultations and improvement in the quality of clinical care of patients with dental malocclusion.

Conclusion

The digestion of food is essential to human nutrition, health, and overall quality of life [54]. Despite the clinical significance of the possible correlation between dental malocclusion and GI problems, the level of evidence on this matter is currently low. Additional clinical studies, with larger cohort sizes and strategic study designs, are required to provide more knowledge on this subject.

Declarations

Acknowledgements: This research was supported by the Advanced Education in Orthodontics and Dentofacial Orthopedics program of Roseman University College of Dental Medicine.

Funding: This research did not receive any specific grant from funding agencies in the public, commercial, or not-for-profit sectors.

Conflicts of interest: The authors have no conflicts of interest to declare.

References

  1. Jacobson A. DAI: The dental aesthetic index. Am J Orthod Dentofacial Orthop. 1987; 92(6): 521-2.
  2. Lombardo G, Vena F, Negri P, Pagano S, Barilotti C, et al. Worldwide prevalence of malocclusion in the different stages of dentition: A systematic review and meta-analysis. Eur J Paediatr Dent. 2020; 21(2): 115-22.
  3. Masucci C, Oueiss A, Maniere-Ezvan A, Orthlieb JD, Casazza E. [What is a malocclusion?]. Orthod Fr. 2020; 91(1-2): 57-67.
  4. Ruhl CM, Bellian KT, Van Meter BH, Hoard MA, Pham CD, et al. Diagnosis, complications, and treatment of dentoskeletal malocclusion. Am J Emerg Med. 1994; 12(1): 98-104.
  5. Broadbent JM. Chewing and occlusal function. Funct Orthod. 2000; 17(4): 34-9.
  6. Leck R, Paul N, Rolland S, Birnie D. The consequences of living with a severe malocclusion: A review of the literature. J Orthod. 2022; 49(2): 228-39.
  7. Cirulli N, Cantore S, Ballini A, Perillo L, Giannico OV, et al. Prevalence of caries and dental malocclusions in the apulian paediatric population: an epidemiological study. Eur J Paediatr Dent. 2019; 20(2): 100-4.
  8. Singh A, Purohit B, Sequeira P, Acharya S, Bhat M. Malocclusion and orthodontic treatment need measured by the dental aesthetic index and its association with dental caries in Indian schoolchildren. Community Dent Health. 2011; 28(4): 313-6.
  9. Ahmad L, Kapoor P, Bhaskar S, Khatter H. Screening of obstructive sleep apnea (OSA) risk in adolescent population and study of association with craniofacial and upper airway morphology. J Oral Biol Craniofac Res. 2020; 10(4): 807-13.
  10. Manrikyan GE, Vardanyan IF, Markaryan MM, Manrikyan ME, Badeyan EH, et al. Association between the Obstructive Sleep Apnea and Cephalometric Parameters in Teenagers. J Clin Med. 2023; 12(21).
  11. Assaf DDC, Knorst JK, Busanello-Stella AR, Ferrazzo VA, Berwig LC, et al. Association between malocclusion, tongue position and speech distortion in mixeddentition schoolchildren: an epidemiological study. J Appl Oral Sci. 2021; 29: e20201005.
  12. Bernhardt O, Krey KF, Daboul A, Völzke H, Kindler S, et al. New insights in the link between malocclusion and periodontal disease. J Clin Periodontol. 2019; 46(2): 14459.
  13. Joshi N, Hamdan AM, Fakhouri WD. Skeletal malocclusion: a developmental disorder with a life-long morbidity. J Clin Med Res. 2014; 6(6): 399-408.
  14. Buschang PH. Masticatory Ability and Performance: The Effects of Mutilated and Maloccluded Dentitions. Seminars in Orthodontics. 2006; 12(2): 92-101.
  15. English JD, Buschang PH, Throckmorton GS. Does malocclusion affect masticatory performance? Angle Orthod. 2002; 72(1): 21-7.
  16. Nurminen L, Pietilä T, Vinkka-Puhakka H. Motivation for and satisfaction with orthodontic-surgical treatment: a retrospective study of 28 patients. Eur J Orthod. 1999; 21(1): 79-87.
  17. Feldens CA, Nakamura EK, Tessarollo FR, Closs LQ. Desire for orthodontic treatment and associated factors among adolescents in Southern Brazil. Angle Orthod. 2015; 85(2): 224-32.
  18. Felemban OM, Alharabi NT, RA AA, Alturki GA, Helal NM. Factors influencing the desire for orthodontic treatment among patients and parents in Saudi Arabia: A crosssectional study. J Orthod Sci. 2022; 11: 25.
  19. Patcas R, Cunningham SJ, Shute J, Lloyd T, Obwegeser JA, et al. Motivation for orthognathic treatment and anticipated satisfaction levels-a two-centre cross-national audit. J Craniomaxillofac Surg. 2017; 45(6): 1004-9.
  20. Tack J. Gastric motor disorders. Best Pract Res Clin Gastroenterol. 2007; 21(4): 63344.
  21. Farrell JH. The effect of mastication on the digestion of food. British Dental Journal. 1956; 100: 149-55.
  22. Van der Bilt A, Engelen L, Pereira LJ, van der Glas HW, Abbink JH. Oral physiology and mastication. Physiol Behav. 2006; 89(1): 22-7.
  23. Lai WYW, Chua JWM, Gill S, Brownlee IA. Analysis of the Lipolytic Activity of WholeSaliva and Site-Specific Secretions from the Oral Cavity of Healthy Adults. Nutrients. 2019; 11(1).
  24. Ohmure H, Takada H, Nagayama K, Sakiyama T, Tsubouchi H, et al. Mastication suppresses initial gastric emptying by modulating gastric activity. J Dent Res. 2012; 91(3): 293-8.
  25. Pera P, Bucca C, Borro P, Bernocco C, De LA, et al. Influence of mastication on gastric emptying. J Dent Res. 2002; 81(3): 179-81.
  26. Mercier P, Poitras P. Gastrointestinal symptoms and masticatory dysfunction. J Gastroenterol Hepatol. 1992; 7(1): 61-5.
  27. Brodeur JM, Laurin D, Vallee R, Lachapelle D. Nutrient intake and gastrointestinal disorders related to masticatory performance in the edentulous elderly. J Prosthet Dent. 1993; 70(5): 468-73.
  28. Tricco AC, Lillie E, Zarin W, O’Brien KK, Colquhoun H, et al. PRISMA Extension for Scoping Reviews (PRISMA-ScR): Checklist and Explanation. Ann Intern Med. 2018; 169(7): 467-73.
  29. Joanna, Briggs, Institute. JBI Cohort Studies Critical Appraisal Tool. [Available from: https: //jbi.global/critical-appraisal-tools.
  30. Koike S, Sujino T, Ohmori H, Shimazaki K, Fukuyama E, et al. Gastric emptying rate in subjects with malocclusion examined by [(13) C] breath test. J Oral Rehabil. 2013; 40(8): 574-81.
  31. Suzuki J, Shimazaki K, Koike S, Ono T. Gastric emptying rate before and after orthodontic treatment examined with the [(13)C] breath test: A pilot study. Am J Orthod Dentofacial Orthop. 2018; 153(3): 347-54.
  32. Hattori Y, Mito Y, Watanabe M. Gastric emptying rate in subjects with experimentally shortened dental arches: a pilot study. J Oral Rehabil. 2008; 35(6): 402-7.
  33. Togawa R, Ohmure H, Sakaguchi K, Takada H, Oikawa K, et al. Gastroesophageal reflux symptoms in adults with skeletal Class III malocclusion examined by questionnaires. Am J Orthod Dentofacial Orthop. 2009; 136(1): 10.e1-6; discussion -1.
  34. Petring OU, Flachs H. Inter- and intrasubject variability of gastric emptying in healthy volunteers measured by scintigraphy and paracetamol absorption. Br J Clin Pharmacol. 1990; 29(6): 703-8.
  35. Hauser B, De Schepper J, Caveliers V, Salvatore S, Salvatoni A, et al. Variability of the 13C-octanoic acid breath test for gastric emptying of solids in healthy children. Aliment Pharmacol Ther.2006; 23(9): 1315-9.
  36. Choi MG, Camilleri M, Burton DD, Zinsmeister AR, Forstrom LA, et al. [13C]octanoic acid breath test for gastric emptying of solids: accuracy, reproducibility, and comparison with scintigraphy. Gastroenterology. 1997; 112(4): 1155-62.
  37. Ghoos YF, Maes BD, Geypens BJ, Mys G, Hiele MI, et al. Measurement of gastric emptying rate of solids by means of a carbon-labeled octanoic acid breath test. Gastroenterology. 1993; 104(6): 1640-7.
  38. Kusano M, Shimoyama Y, Sugimoto S, Kawamura O, Maeda M, et al. Development and evaluation of FSSG: frequency scale for the symptoms of GERD. J Gastroenterol. 2004; 39(9): 888-91.
  39. Carlsson R, Dent J, Bolling-Sternevald E, Johnsson F, Junghard O, et al. The usefulness of a structured questionnaire in the assessment of symptomatic gastroesophageal reflux disease. Scand J Gastroenterol. 1998; 33(10): 1023-9.
  40. Tricco AC, Lillie E, Zarin W, O’Brien K, Colquhoun H, et al. A scoping review on the conduct and reporting of scoping reviews. BMC Med Res Methodol. 2016; 16: 15.
  41. Hellmig S, Von Schöning F, Gadow C, Katsoulis S, Hedderich J, et al. Gastric emptying time of fluids and solids in healthy subjects determined by 13C breath tests: influence of age, sex and body mass index. J Gastroenterol Hepatol. 2006; 21(12): 1832-8.
  42. Klingensmith WC, 3rd, Rhea KL, Wainwright EA, Hopper OW. The gastric emptying study with oatmeal: reference range and reproducibility as a function of age and sex. J Nucl Med Technol. 2010; 38(4): 186-90.
  43. Numans ME, de Wit NJ. Reflux symptoms in general practice: diagnostic evaluation of the Carlsson-Dent gastro-oesophageal reflux disease questionnaire. Aliment Pharmacol Ther. 2003; 17(8): 1049-55.
  44. Contreras-Omaña R, Sánchez-Reyes O, Ángeles-Granados E. Comparison of the Carlsson-Dent and GERD-Q questionnaires for gastroesophageal reflux disease symptom detection in a general population. Rev Gastroenterol Mex. 2017; 82(1): 19-25.
  45. Netinatsunton N, Attasaranya S, Ovartlarnporn B, Sangnil S, Boonviriya S, et al. The value of Carlsson-dent questionnaire in diagnosis of gastroesophageal reflux disease in area with low prevalence of gastroesophageal reflux disease. J Neurogastroenterol Motil. 2011; 17(2): 164-8.
  46. Valdez-Solis EM, Ramírez-Rentería C, Ferreira-Hermosillo A, Molina-Ayala M, Mendoza-Zubieta V, et al. Gastroesophageal reflux disease in patients with long standing type 1 diabetes mellitus: utility of two self-report questionnaires in a multifactorial disease. Colomb Med (Cali). 2017; 48(3): 132-7.
  47. Danjo A, Yamaguchi K, Fujimoto K, Saitoh T, Inamori M, et al. Comparison of endoscopic findings with symptom assessment systems (FSSG and QUEST) for gastroesophageal reflux disease in Japanese centres. J Gastroenterol Hepatol. 2009; 24(4): 633-8.
  48. Gómez-Escudero O, Remes-Troche JM, Ruíz JC, Peláez-Luna M, Schmulson MJ, Valdovinos Díaz MA. [Diagnostic usefulness of the Carlsson-Dent questionnaire in gastroesophageal reflux disease (GERD)]. Rev Gastroenterol Mex. 2004; 69(1): 16-23.
  49. Kurokawa R, Kanemitsu Y, Fukumitsu K, Takeda N, Yap JM, et al. The diagnostic utility of the frequency scale for the symptoms of gastroesophageal reflux disease questionnaire (FSSG) for patients with subacute/chronic cough. J Asthma. 2021; 58(11): 1502-11.
  50. Sarita PT, Witter DJ, Kreulen CM, Van’t Hof MA, Creugers NH. Chewing ability of subjects with shortened dental arches. Community Dent Oral Epidemiol. 2003; 31(5): 32834.
  51. Witter DJ, De Haan AF, Käyser AF, Van Rossum GM. A 6-year follow-up study of oral function in shortened dental arches. Part II: Craniomandibular dysfunction and oral comfort. J Oral Rehabil. 1994; 21(4): 353-66.
  52. Walther W. The concept of a shortened dental arch. Int J Prosthodont. 2009; 22(5): 529-30.
  53. Armellini D, von Fraunhofer JA. The shortened dental arch: A review of the literature. J Prosthet Dent. 2004; 92(6): 531-5.
  54. Beke M, Burns AM, Weir S, Solch RJ, Judkins TC, et al. Validation of a novel quality of life questionnaire: the Digestion-associated Quality of Life Questionnaire (DQLQ). Health Qual Life Outcomes. 2022; 20(1): 53.