Journal of Gastroenterology
Research and Practice


Short Report - Open Access, Volume 4

Is heimlich maneuver safe? A literature review and case report

Vahan Moradians; Amirhosein Gholamlou*

Department of Internal Medicine, School of Medicine, Hazrat-e-Rasool General Hospital, University of Medical sciences, Tehran, Iran.

*Corresponding Author : Amirhosein Gholamlou
Department of Internal Medicine, School of Medicine, Hazrat-e-Rasool General Hospital, University of Medical sciences, Tehran, Iran.
Tel: +989107805789;
Email: amirgholamlou@gmail.com

Received : Jul 07, 2024

Accepted : Aug 01, 2024

Published : Aug 08, 2024

Archived : www.jjgastro.com

Copyright : © Gholamlou A (2024).

Abstract

The Heimlich Maneuver (HM) is one of the main techniques approved by the American Red Cross and the American Heart Association, which has saved the lives of many choking victims. However, several studies have shown that this maneuver is associated with serious complications such as abdominal aortic thrombosis, Gastric and Esophageal rupture. In this study we report an 83-year-old female patient with a history of dysphagia on whom the HM was performed for witnessed aspiration by a family member during lunch. We also review the available reports of HM complications from inception to 2024 and discuss some other reported solutions that could be used instead of this maneuver to reduce its complications.

Keywords: Heimlich maneuver; Abdominal thrust; Aortic aneurysm thrombosis; Case report; Gastric rupture.

Citation: Moradians V, Gholamlou A. Is heimlich maneuver safe? A literature review and case report. J Gastroenterol Res Pract. 2024; 4(7): 1209.

Introduction

Heimlich Maneuver (HM) or abdominal thrust is one of the most common therapies used by physicians, nurses, and even the public, which is performed in acute upper airway obstruction. This technique is used among children and adults with eating disorders [1,2] or in case of choking on a substance, and in many of these cases, it has decreased mortality. But since 1975, when this method was described by Heimlich and accepted by the American Heart Association and American Red Cross (ARC) [3], significant reports have shown that HM can have serious complications such as Pneumothorax, Abdominal aortic thrombosis, Gastric or Pancreatic rupture, etc. that has led to the death of some cases. Here we report an 83-year-old female patient with a history of dysphagia on whom the HM was performed for witnessed aspiration by a family member during lunch. We also take this opportunity to review the available reports of HM complications from inception to 2024 represent them in a Table and discuss the other reported solutions that could be used instead of this maneuver to reduce its complications.

Materials and methods

A literature search in PubMed was conducted based on “Heimlich maneuver”, and “case reports” as keywords, which showed 64 case reports from 1975 to 1.1.2024. Finally, by investigating and adding relevant references from some review studies, 46 considerable cases were documented in the Table.

Case presentation

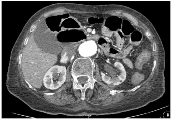
An 83-year-old female patient developed dyspnea after choking on her food. Her grandson, who was a physician performed HM on her and it successfully dislodged the airway obstruction. She did not develop any evidence of confusion but for further assessments was transported to the emergency room of our hospital. On arrival, the patient’s vital signs were stable, and she had no history of previous illnesses except long-standing dysphagia and epigastric pain on swallowing. Because she complained of shortness of breath, computed tomography was obtained (Figure 1), and it revealed a mild reticular change at the bases of the lungs and a large aneurysm at the entrance of the thoracic to the abdominal aorta. The patient was hospitalized with the diagnosis of aspiration pneumonia and treated with IV Ceftriaxone plus Clindamycin and was discharged after 3 days. Two weeks later, the patient returned due to a decreased level of consciousness and increasing shortness of breath and was hospitalized and treated again with the diagnosis of pneumonia. Also, a pulmonary CT-angiography was performed which was negative for pulmonary thromboembolism. In both hospitalizations, due to an aortic aneurysm, it was recommended not to undergo HM in case of recurrent aspiration.

Table 1: Reported complications associated with Heimlich maneuver.
Type of
complication
Age Gender Choking on Performer Complain or sign
(s) after HM
History Outcome Final status Year (Ref)






















Gastric Rupture
74 M Food Alert Companion AbdominalDistention Unknown Laparotomy / splenectomy / 12days hospitalization Discharged in goodcondition 1975[10]
39 M Food Food Service Employee None CP / organic brain syndrome / epilepsy/ DM None Died 1983[11]
74 M Meat Family Members Abdominal Discomfort Parkinson’s disease Laparotomy Survived 1987[12]
76 F Food Nurse AP Radiated toLeft Shoulder MDD Laparotomy / ICU admission/ Ventilation afterbronchopneumonia Died [13]

93

M

Food
Untrained But Well- Meaning Bystanders Abdominal Dis-tention
Unknown
Laparotomy / 66 dayshospitalization
Survived
1993[14]
Unknown Unknown Unknown Unknown Pulmonary & Abdominal Symptoms Unknown Laparotomy Died 1996[15]
Unknown Unknown Unknown Unknown Pulmonary & Abdominal Symptoms Unknown Laparotomy Discharged withgood condition 1996[15]
57 F Pizza Unknown Vomited Blood Unknown Laparotomy / myocardial infarction / bronchopneumonia / 16 days hospitalization Died 1998[16]
74 F Meat Bystander AP & Distention Unknown Laparotomy Discharged withoutany complications 2002[17]
Unknown Unknown Unknown Unknown Unknown Unknown Laparoscopic surgery Discharged withoutany complications 2003[18]
59 F Unknown EMT Unknown Nasopharyngeal cancer Unsuccessful HM / CPR & endotracheal intubation / laparotomy Survived 2012[19]

















Abdominal Aortic Thrombosis

62

M

Chicken
Patients’Wife Agonizing Pain & Weakness of The Lower Extremities no history of atherosclerotic disease or clotting disorder acute RF/ perforated ischemic colon Died after operation 1983[20]

69

M

Meat
Untrained Companion Unable to Move his Legs
AA
Laparotomy / ICU admission/ massive complications of revascularization-reperfusion syndrome
Died
1985[21]

70

M

Meat
Female Patron Numbness & Paralysisof both Legs CABG / renal insufficiency / popliteal bypass-graft Fasciotomies after unsuccessfulembolectomy & instillation of urokinase / amputation / 4 weeks hospitalization
Discharged with RF
2002[22]
80 F Prune Unknown Abdominal Discomfort AAA Massive systemic reperfusioninjury after operation Died 2002[23]





84

M

Food
Home Nursery Femoral Pulse Was Absent / Mottling of The Foot
Unknown
Massive ischemia-reperfusioninjury & RF after operation
Died
2002[23]
63 M Food Bystander Mild Abdominal Discomfort Infrarenal AAA type I, endoleak / aortic stent- graft displacement Survived 2003[24]

81

M
Unknown
Unknown
LBP/ LoS & Absent Pulses in The Lower Extremities COPD / lower extremity DVT/ HTN / infra-renal AAA / left hip replacement
Mechanical ventilation
Died after multiorgan system failure 2007[25]
78 F Food Nurse Respiratory Arrest Schizophrenia / hypothyroidism Laparotomy Died 2008[26]





Aortic ValveRupture/ Aortic Dissection
86 M Food Untrained Companion Severe SoB Mild aortic insufficiency Refused any invasive procedure Survived but 3weeks later died 1983[27]
74 F Unknown Unknown Unknown Aortic valve prosthesis None Survived 1987[28]
85 M Bread Unknown Unconscious Alzheimer-type dementia / HTN / hypercholesterolemia Revealed in autopsy Died 2018[29]
67 M Meat Emergency Medical Technician Left-SidedHemiplegia None Thrombolytic therapy / TPA injection / surgical repair Discharged withoutcomplications 2019[30]






Pneumome- diastinum / Pneumotho- rax

10

M

Water

Unknown

Vomiting

Epilepsy

CPR / intubation / bacteremia
Discharged in vegetative state and died 7 years later 1987[31]

3

M
Thought To Be a Toy Patients’Father "Funny" Sensa- tion in The Back of Throat
None
Gastrograffinswallow / esophagoscopy / bronchoscopy / foreign body had not been recovered Discharged after 24hours observation 1989[32]
7 M Pen Patients’ Mother / Physician Retrosternal Chest Pain None Topical & general anesthesia/ nasoendoscopy/ Discharged with unremarkable recovery 1998[33]
45 F Bony Chicken Meat Caretakernurse Emphysema Mental illness Pharyngoesophagoscopy Survived 2015[34]








Esophageal Rupture

61

F

Meat
Patients’Husband Dyspnea & Severe Pain in LUQ Radiated to Left Shoulder
None
Gastrograffinswallow / Surgery / CPR/ ventilation / 83 days hospitalization
Survived
1984[35]
62 M Food Patients’Nephew Chest Pain & Respiratory Distress Unknown Surgery / 16 days hospitalization Survived 1986[36]
26 M Unknown Unknown Neck Swelling &Dyspnea, None None Survived 1996[37]



16



M



Rice

Patients’Mother
Throat Pain, Odynophagia, Secretion Intolerance, Muffled Voice & Neck Stiffness


None



Transcervical incision

Discharged in goodcondition

2018[38]


Diaphrag- matic Rupture / Hernia
±60 M Unknown Unknown Unknown Mental Illness None Died 1984[39]
10 F Mucus Plug Patients’Sister Upper AP &Vomiting Unknown Laparotomy Survived 2013[40]
85 F Food Nurse Dyspnea And Dysphagia Unknown Laparotomy / septic shock / 50 days hospitalization Discharged with slowly recovering 2018[41]

85 F MedicalStaff Piece of Meat Dyspnea& Pleuritic ChestPain Unknown Laparotomy Survived 2018[42]


HepaticRupture
88 M Unknown Piece of Meat AP Unknown Medical therapy Survived 2007[43]
84 M Bystand- er Unknown None Unknown Unsuccessful HM, CRP,Intubation, bronchoscopy Survived 2015[44]


Pancreatic Transection
11 M Nothing Patients’Father Severe Upper AP None Laparotomy with distal pancreatectomy and splenic salvage Discharged in goodcondition 2007[45]
3 M Unknown Piece of Cantaloupe AP, Weight Loss None None Survived 2009[46]
MesentericLaceration 76 M Aspirin Patients’ Son Abdominal & Leg Pain & Dyspnea Unknown None Died 1986[47]
Jejunum Rupture 22 M Wood Alert Atten- dant PersistentVomiting Mental Illness Laparotomy Survived 1986[48]
Splenic Rupture 83 M Meat Nurse Unconscious & collapsed Unknown CPR Died 2011[49]
Cholesterol Embolization & Arterial Occlusion 56 F Meat Bystander Right Foot Pain Unknown CT Angiography / Heparin infusion Discharged with Apixaban as oral treatment 2021[50]
Myocardial Injury 53 M Noodle Security Guard Upper Abdominal Discomfort HTN Cardiac Arrest Died 2022[51]
Rotator CuffTear 48 M Unknown Fellow Restaurant Diner Shoulder Pain Unknown Arthroscopy / UneventfulRecovery Survived 2010[52]
Thoracic Vertebral Compression Fractures
80

F

Unknown
Untrained Person LBPWith Muscle Spasm Osteoporotic ThoracicVertebral Fractures
Kyphoplasty

Survived
2010[53]

Male: M; Female: F; Low Back Pain: LBP; Loss of Sensation: LoS; Cerebral Palsy: CP; Aortic Aneurysm: AA; Abdominal Aortic Aneurysm: AAA; Coronary Artery Bypass Graft: CABG; Renal Failure: RF; Diabetes Mellites: DM; Deep Venous Thrombosis: DVT; Tissue Plasminogen Activator: TPA; Emergency Medical Technician: EMT; Shortness of Breath: SoB; Left Upper Quadrant: LUQ; AP: AP; Major Depressive Disorder: MDD; Cardiopulmonary Resuscitation: CPR; Heimlich Maneuver: HM; Intensive Care Unit: ICU; Hypertension: HTN.

Image is Not Display Check it
Figure 1: Abdominal computed tomography Imaging show a mild reticular change at the bases of the lungs and a large aneurysm at the entrance of the thoracic to the abdominal aorta.

Discussion

HM has saved the lives of many choking victims [4], but significant cases of post-HM complications have been published so far. The experience and level of training of the person performing HM, the number of times HM is performed, the presence of comorbidity in the victim, and age have a significant role in the occurrence of these complications. In this section, we give a review of each of the complications listed in the Table, and at the end, we discuss the proposed solutions that can be used to prevent them.

1- Gastric rupture (11 cases)

2- Abdominal aortic thrombosis (8 cases)

3- Aortic Valve Rupture / Aortic Dissection (4 cases)

4- Pneumomediastinum / Pneumothorax (4 cases)

5- Esophageal rupture (4 cases)

6- Diaphragmatic Rupture / Hernia (4 cases)

7- Hepatic Rupture (2 cases)

8- Pancreatic Transection (2 cases)

9- Other complications such as mesenteric laceration, jejunum rupture, splenic rupture, cholesterol embolization and arterial occlusion, myocardial injury, rotator cuff tear, and thoracic vertebral fractures (once each).

As shown in the Table 1, many of the HM performers did not have enough experience and training in this area and were among the bystanders present at the accident site. Ichikawa [5] showed that consecutive HMs can be associated with complications, and supine and prone positions are more efficient than standing. Comorbidity also played a role in the occurrence of some complications, for instance, several patients with abdominal aortic thrombosis had aortic aneurysm, a patient with myocardial injury had hypertension and a patient with thoracic vertebral fracture had osteoporosis. Also, in some patients with neuropsychiatric disorders such as cerebral palsy, dementia, and schizophrenia, the lack of proper evacuation of the foreign body after HM leads to consecutive HMs and, as a result, can increase the possibility of complications. Also, most of the patients who developed complications after HM were adults and were over 60 years old. Various techniques such as back blows, chest thrusts/compressions, and manual removal of obstructions from the mouth are recommended by ARC other than HM [6]. To the best of our knowledge, both the Red Cross and the National Health Service (NHS) have recommended HM to be performed as the third step in the approach to choking victims, so that in the first step, the victim should be encouraged to evacuate the foreign body by coughing, and in the second step, 5 strong blows should be given between the scapulas of the victim, if these two steps failed, then HM should be performed [7]. In 2016 the Australian and New Zealand Committee on Resuscitation (ANZCOR) recommended back blows and chest thrusts instead of HM [8]. Another technique is the Table Maneuver which was introduced by Blain et al. in 2010 [9], in which the choking victim lies on the table with his face and hands hanging from it, and the performer gives sharp blows between the scapulas with the heel of the hand. This technique can be performed on all age groups and patients in cases where there is more doubt that HM is associated with complications.

Conclusion

Especially in elderly patients, those who have underlying diseases such as aortic aneurysms or clotting disorders, and patients with neuropsychiatric illnesses such as cerebral palsy or dementia, the HM should be performed correctly and not with too much pressure to the abdomen to reduce the risk of complications and even without complaints, this group of patients should subsequently be transferred to the hospital so that further assessments can be performed in a shorter time if there are any complications. It is also recommended that all patients undergoing HM should immediately be taken to the hospital if they have complaints such as abdominal distention or discomfort, dyspnea, chest pain or neck stiffness, foot pain, and pulseless or paralytic lower extremities after HM has been performed.

Patient consent: An informed consent was taken from the patient’s family for the publication of this case report.

References

  1. Boachie A, Kusi Appiah E, Jubin M, Jasper K. Purging using the Heimlich maneuver among children and adolescents with eating disorders. The International journal of eating disorders. 2015; 48(6): 795-7.
  2. Ackard DM, Cronemeyer CL, Franzen LM, Richter SA, Norstrom J. Number of different purging behaviors used among women with eating disorders: psychological, behavioral, self-efficacy and quality of life outcomes. Eating disorders. 2011; 19(2): 156-74.
  3. Sternbach G, Kiskaddon RT. Henry Heimlich: a life-saving maneuver for food choking. The Journal of emergency medicine. 1985; 3(2): 143-8.
  4. Best RA. The National Security Council: An Organizational Assessment: Congressional Research Service; 2009.
  5. Ichikawa M, Oishi S, Mochizuki K, Nitta K, Okamoto K, Imamura H. Influence of body position during Heimlich maneuver to relieve supralaryngeal obstruction: a manikin study. Acute medicine & surgery. 2017; 4(4): 418-25.
  6. Couper K, Hassan AA, Ohri V, Patterson E, Tang HT, Bingham R, et al. Removal of foreign body airway obstruction: A systematic review of interventions. Resuscitation. 2020; 156: 174-81.
  7. Rodríguez H, Passali GC, Gregori D, Chinski A, Tiscornia C, Botto H, et al. Management of foreign bodies in the airway and oesophagus. International journal of pediatric otorhinolaryngology. 2012; 76: S84-S91.
  8. Leman P, Morley P. Updated resuscitation guidelines for 2016: A summary of the Australian and New Zealand Committee on Resuscitation recommendations. Emergency Medicine Australasia. 2016; 28(4): 379-82.
  9. Blain H, Bonnafous M, Grovalet N, Jonquet O, David M. The table maneuver: a procedure used with success in four cases of unconscious choking older subjects. The American journal of medicine. 2010; 123(12): 1150. e7-. e9.
  10. Visintine RE, Baick CH. Ruptured stomach after Heimlich maneuver. Jama. 1975; 234(4): 415-.
  11. Croom DW. Rupture of stomach after attempted Heimlich maneuver. Jama. 1983; 250(19): 2602-3.
  12. Cowan M, Bardole J, Dlesk A. Perforated stomach following the Heimlich maneuver. The American Journal of Emergency Medicine. 1987; 5(2): 121-2.
  13. van der Ham AC, Lange JF. Traumatic rupture of the stomach after Heimlich maneuver. The Journal of emergency medicine. 1990; 8(6): 713-5.
  14. Dupre MW, Silva E, Brotman S. Traumatic rupture of the stomach secondary to Heimlich maneuver. The American journal of emergency medicine. 1993; 11(6): 611-2.
  15. Bintz M, Cogbill TH. Gastric rupture after the Heimlich maneuver. Journal of Trauma and Acute Care Surgery. 1996; 40(1): 159-60.
  16. Majumdar A, Sedman PC. Gastric rupture secondary to successful Heimlich manoeuvre. Postgraduate medical journal. 1998; 74(876): 609-10.
  17. Fearing NM, Harrison PB. Complications of the Heimlich maneuver: case report and literature review. Journal of Trauma and Acute Care Surgery. 2002; 53(5): 978-9.
  18. Gallardo A, Rosado R, Ramírez D, Medina P, Mezquita S, Sánchez J. Rupture of the lesser gastric curvature after a Heimlich maneuver. Surgical Endoscopy And Other Interventional Techniques. 2003; 17: 1495-.
  19. Chao CM, Lai CC, Tan CK. Gastric perforation after Heimlich maneuver. Am J Med. 2012; 125(6): e7-8.
  20. Roehm EF, Twiest MW, Williams RC, Jr. Abdominal Aortic Thrombosis in Association With an Attempted Heimlich Maneuver. Jama. 1983; 249(9): 1186-7.
  21. Kirshner RL, Green RM. Acute thrombosis of abdominal aortic aneurysm subsequent to Heimlich maneuver: a case report. Journal of vascular surgery. 1985; 2(4): 594-6.
  22. Ayerdi J, Gupta SK, Sampson LN, Deshmukh N. Acute abdominal aortic thrombosis following the Heimlich maneuver. Cardiovascular surgery (London, England). 2002; 10(2): 154-6.
  23. Mack L, Forbes TL, Harris KA. Acute aortic thrombosis following incorrect application of the Heimlich maneuver. Annals of vascular surgery. 2002; 16: 130-3.
  24. Lin PH, Bush RL, Lumsden AB. Proximal aortic stent-graft displacement with type I endoleak due to Heimlich maneuver. Journal of Vascular Surgery. 2003; 38(2): 380-2.
  25. Martin TJ, Bobba RK, Metzger R, Madalina M, Bollu M, Patel BG, et al. ACUTE ABDOMINAL AORTIC THROMBOSIS AS A COMPLICATION OF THE HEIMLICH MANEUVER. Journal of the American Geriatrics Society. 2007; 55(7): 1146-7.
  26. Desai SC, Chute DJ, Desai BC, Koloski ER. Traumatic dissection and rupture of the abdominal aorta as a complication of the Heimlich maneuver. Journal of vascular surgery. 2008; 48(5): 1325-7.
  27. Chapman JH, Menapace FJ, Howell RR. Ruptured aortic valve cusp: a complication of the Heimlich maneuver. Annals of emergency medicine. 1983; 12(7): 446-8.
  28. Passik C, Ackermann D, Piehler J, Edwards W. Traumatic rupture of Ionescu-Shiley aortic valve after the Heimlich maneuver. Archives of pathology & laboratory medicine. 1987; 111(5): 469-70.
  29. Guinane J, Lee SM. Fatal acute aortic dissection after back blows and chest thrusts delivered for choking episode. Internal medicine journal. 2018; 48(10): 1272-3.
  30. Lee K-Y, Wu Y-L, Ho S-W. Silent aortic dissection after the Heimlich Maneuver: a case report. The Journal of emergency medicine. 2019; 56(2): 210-2.
  31. Orlowski JP. Vomiting as a complication of the Heimlich maneuver. Jama. 1987; 258(4): 512-3.
  32. Fink JA, Klein RL. Complications of the Heimlich maneuver. Journal of pediatric surgery. 1989; 24(5): 486-7.
  33. Nowitz A, Lewer BM, Galletly DC. An interesting complication of the Heimlich manoeuvre. Resuscitation. 1998; 39(1-2): 129-31.
  34. Bouayed S, Sandu K, Teiga PS, Hallak B. Thoracocervicofacial Emphysema after Heimlich’s Maneuvre. Case reports in otolaryngology. 2015; 2015: 427320.
  35. Haynes DE, Haynes BE, Yong Y. Esophageal rupture complicating Heimlich maneuver. The American journal of emergency medicine. 1984; 2(6): 507-9.
  36. Meredith MJ, Liebowitz R. Rupture of the esophagus caused by the Heimlich maneuver. Annals of emergency medicine. 1986; 15(1): 106-7.
  37. Cumberbatch GL, Reichl M. Oesophageal perforation: a rare complication of minor blunt trauma. Journal of accident & emergency medicine. 1996; 13(4): 295-6.
  38. Koss SL, Karle WE, Dibelius G, Kamat A, Berzofsky C. Esophageal perforation as a complication of the Heimlich maneuver in a pediatric patient: A case report. Ear, nose, & throat journal. 2018; 97(7): E1-e3.
  39. Ujjin V. Diaphragmatic hernia as a complication of the Heimlich maneuver. Int Surg. 1984; 69: 175-6.
  40. Matharoo G, Kalia A, Phatak T, Bhattacharyya N. Diaphragmatic rupture with gastric volvulus after Heimlich maneuver. European Journal of Pediatric Surgery. 2013; 23(06): 502-4.
  41. Truong T, Salire K, De Cicco I, Cherian S, Aisenberg G. Incarcerated diaphragmatic hernia following Heimlich maneuver. Proceedings (Baylor University Medical Center). 2018; 31(1): 48-50.
  42. Herman A, Maiti A, Cherian SV, Estrada-Y-Martin RM. Heimlich maneuver-induced diaphragmatic rupture and hiatal hernia. The american journal of the medical sciences. 2018; 355(4): e13.
  43. Palleiro MMO, López CB, Pretel MCF, Fernández JS. Hepatic rupture after Heimlich maneuver. Annals of emergency medicine. 2007; 49(6): 825-6.
  44. Tashtoush B, Schroeder J, Memarpour R, Oliveira E, Medina M, Hadeh A, et al. Food Particle Aspiration Associated with Hemorrhagic Shock: A Diagnostic Dilemma. Case reports in emergency medicine. 2015; 2015: 275497.
  45. Feeney SN, Pegoli W, Gestring ML. Pancreatic transection as a complication of the Heimlich maneuver: case report and literature review. The Journal of trauma. 2007; 62(1): 252-4.
  46. Lee SL, Kim SS, Shekherdimian S, Ledbetter DJ. Complications as a result of the Heimlich maneuver. Journal of Trauma and Acute Care Surgery. 2009; 66(3): E34-E5.
  47. Valero V. Mesenteric laceration complicating a Heimlich maneuver. Annals of emergency medicine. 1986; 15(1): 105-6.
  48. Razaboni RM, Brathwaite CEM, Dwyer WA. Ruptured jejunum following Heimlich maneuver. The Journal of emergency medicine. 1986; 4(2): 95-8.
  49. Cecchetto G, Viel G, Cecchetto A, Kusstatscher S, Montisci M. Fatal splenic rupture following Heimlich maneuver: case report and literature review. The American journal of forensic medicine and pathology. 2011; 32(2): 169-71.
  50. Pawlukiewicz AJ, Merrill DR, Griffiths SA, Frantz G, Bridwell RE. Cholesterol embolization and arterial occlusion from the Heimlich maneuver. The American Journal of Emergency Medicine. 2021; 43: 290.e1-.e3.
  51. Wang C, Wang ZZ, Wang TB. Blunt myocardial injury and gastrointestinal hemorrhage following Heimlich maneuver: A case report and literature review. World journal of emergency medicine. 2022; 13(3): 248-50.
  52. Baker JF, Mullet H. A hero’s woe: rotator cuff tear after performing the Heimlich manoeuvre. Emergency medicine journal : EMJ. 2010; 27(7): 566-7.
  53. Chillag S, Krieg J, Bhargava R. The Heimlich maneuver: breaking down the complications. Southern medical journal. 2010; 103(2): 147-50.